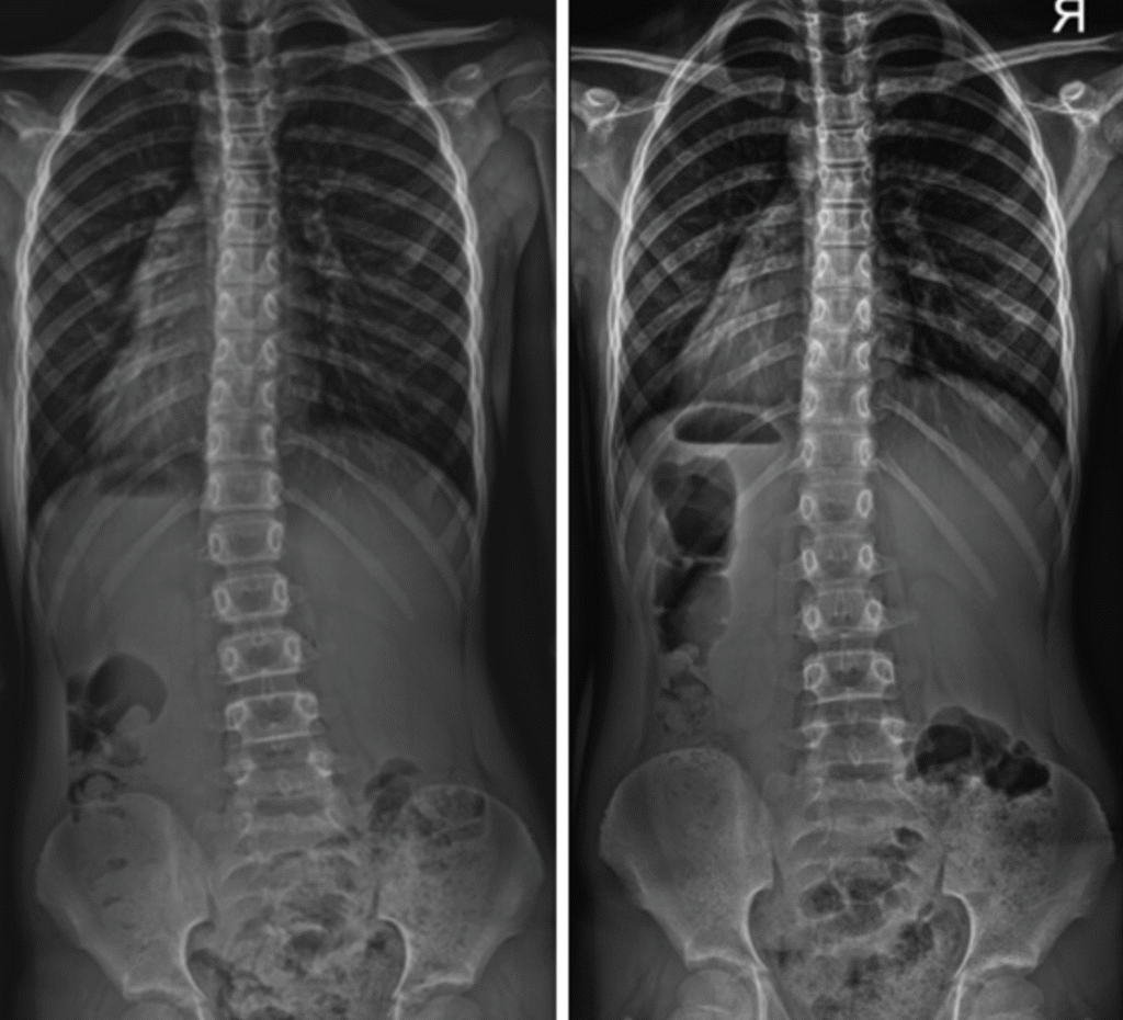
Piotr – 10 lat

Terapia prowadzona w okresie 15.09 – 01.12.2008 (20 zabiegów) Częstotliwość zajęć – 2 x tydz.
Justyna – 15 lat

Terapia prowadzona w okresie 02.08.2010 – 06.04.2011 (40 zabiegów) Częstotliwość zajęć – 2 x tydz.
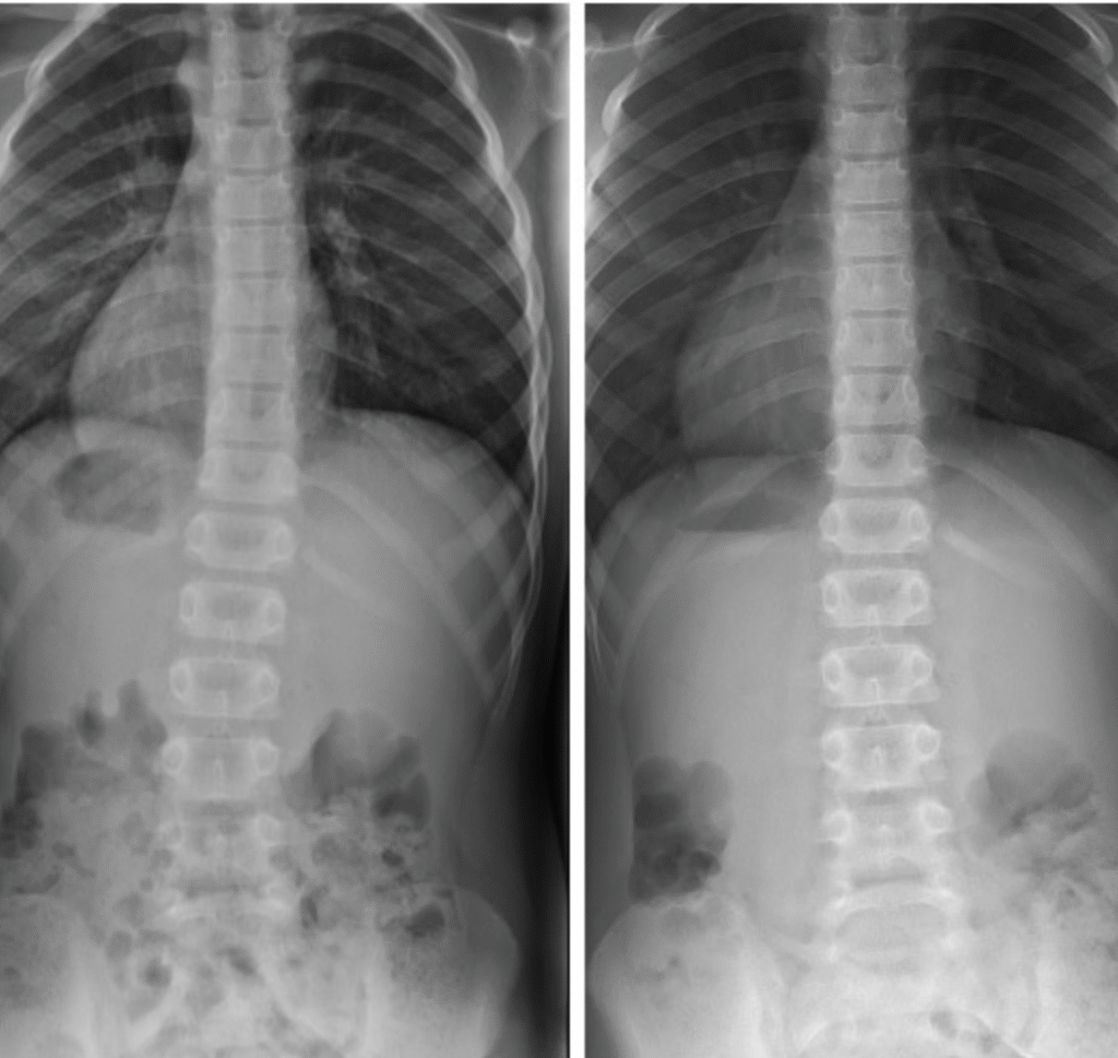
Magda – 11 lat

Terapia prowadzona w okresie 13.01 – 06.04.2016 (16 zabiegów) Częstotliwość zajęć – 10 zabiegów 2 x tydz., 6 zabiegów 1 x tydz.
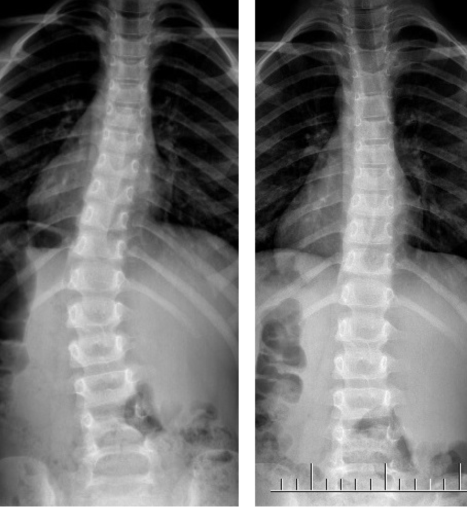
Kacper – 9 lat

Terapia prowadzona w okresie 01.09 – 03.11.2016 (22 zabiegi) Częstotliwość zajęć – 2 x tydz.
Maciej – 7 lat

Skolioza jednołukowa (statyczna) – zdj. z lewej. Korekcja uzyskana w trakcie jednej wizyty – zdj. z prawej
Dawid – 7 lat

Skolioza jednołukowa (statyczna) – zdj. z lewej. Korekcja uzyskana w trakcie jednej wizyty – zdj. z prawej
Klaudia – 9 lat

Terapia prowadzona w okresie 19.12.2014 – 16.04.2015 (20 zabiegów) Częstotliwość zajęć – 10 zabiegów 2 x tydz., 10 zabiegów 1 x tydz.
Gabrysia – 11 lat

Terapia prowadzona w okresie 26.08 – 09.11.2015 (18 zabiegów) Częstotliwość zajęć – 2 x tydz.
Paulina – 9 lat

Terapia prowadzona w okresie 20.07 – 03.10.2008 (20 zabiegów) Częstotliwość zajęć – 2 x tydz.
Kasia – 15 lat

Terapia prowadzona w okresie 14.12.2010 – 07.10.2011 (40 zabiegów) Częstotliwość zajęć – 20 zabiegów 2 x tydz., 18 zabiegów 1 x tydz.
Martyna – 9 lat

Terapia prowadzona w okresie 20.04 – 10.09.2015 (25 zabiegów) Częstotliwość zajęć – 20 zabiegów 2 x tydz., 5 zabiegów 1 x tydz.
Bartek – 9 lat

Terapia prowadzona w okresie 04.02 – 15.04.2017 (6 zabiegów) Częstotliwość zajęć – Zabiegi wykonywano co dwa tygodnie. W związku z małą częstotliwością spotkań wdrożono intensywny program ćwiczeń domowych.
Bartek – 7 lat

Terapia prowadzona w okresie 23.09 – 08.12.2014 (20 zabiegów) Częstotliwość zajęć – 2 x tydz.
Krystian – 7 lat

Terapia prowadzona w okresie 04.12.2017 – 20.02.2018 (10 zabiegów) Częstotliwość zajęć – 1 x tydz.
Filip – 6 lat

Terapia prowadzona w okresie 05.02 – 12.06.2018 (24 zabiegi) Częstotliwość zajęć – 15 zabiegów 2 x tydz., 9 zabiegów 1 x tydz.
Amelia – 7 lat

Terapia prowadzona w okresie 14.05.2017 – 23.12.2017 (14 zabiegów) Częstotliwość zajęć – jeden zabieg co dwa tygodnie.
Gabriela – 18 lat

Terapia prowadzona w okresie 20.02 – 04.09.2018 (30 zabiegów) Częstotliwość zajęć – 18 zabiegów 2 x tydz., 12 zabiegów 1 x tydz.
Julia – 12 lat

Terapia prowadzona w okresie 13.01 – 04.05.2016 (20 zabiegów) Częstotliwość zajęć – 2 x tydz.
Weronika – 6 lat

Terapia prowadzona w okresie 30.06 – 20.09.2017 (12 zabiegów) Częstotliwość zajęć – 1 x tydz.
Martyna – 10 lat

Terapia prowadzona w okresie 03.10.2016 – 02.01.2017 (20 zabiegów) Częstotliwość zajęć – 2 x tydz. Po skończonej terapii dziecko było pod kontrolą naszego ośrodka. W lutym 2019 zrobiono zdjęcie RTG, które nie wykazało skrzywienia kręgosłupa.